Tanda Tanda Kanser Mulut - 5 Penyakit Yang Dapat Dikesan Dari Gigi Dan Mulut Anda : Satu lagi tanda kanker mulut awal yang harus segera diperiksakan adalah ketika timbul rasa sakit di bagian lidah.

Tanda Tanda Kanser Mulut - 5 Penyakit Yang Dapat Dikesan Dari Gigi Dan Mulut Anda : Satu lagi tanda kanker mulut awal yang harus segera diperiksakan adalah ketika timbul rasa sakit di bagian lidah.. Satu lagi tanda kanker mulut awal yang harus segera diperiksakan adalah ketika timbul rasa sakit di bagian lidah. Rawatan kanser mulut adalah sama seperti rawatan kanser yang lain iaitu ia bergantung dengan tahapan kanser pesakit pembedahan jika kanser tersebut telah merebak ke kalenjar limfa, doktor juga perlu membuang kalenjar limfa tersebut. Kkmalaysia on twitter 12 tanda tanda kanser mulut yang kita boleh buat pemeriksaan sendiri atau mse segera berjumpa doktor untuk pemeriksaan lanjut jika anda mempunyai tanda tanda ini kanser mulut boleh dirawat jika dikesan. Diagnosis awal bermakna terdapat peluang yang lebih tinggi untuk rawatan yang berjaya. V ulser yang lambat sembuh (melebihi 2 minggu).

Kebanyakan kes kanser mulut agak susah untuk disembuhkan kerana pesakit tidak sedar bahawa mereka menghidap penyakit ini. V ulser yang lambat sembuh (melebihi 2 minggu). Rawatan kanser mulut sehingga ke hari ini, rawatan untuk kanser mulut hanyalah pembedahan. Tanda amaran awal kanser mulut termasuk luka mulut, tompok putih atau merah, dan kelembutan atau kesakitan. Mengunyah pinang dengan / tanpa tembakau;

1
1 from
Sebab kanser mulut ni boleh menyebabkan maut ok. Sesiapa yang mengalami gejala ini perlu berjumpa doktor dengan segera. Rawatan kanser mulut sehingga ke hari ini, rawatan untuk kanser mulut hanyalah pembedahan. Tanda potensi kanker mulut lainnya meliputi terbentuknya benjolan dan bercak kasar di mulut. Kebanyakan kes kanser mulut agak susah untuk disembuhkan kerana pesakit tidak sedar bahawa mereka menghidap penyakit ini. Namun ketika rasa sakitnya bertahan cukup lama, anda perlu menanganinya segera. V tompok putih atau merah pada bahagian dalam mulut. Jika ada tanda tanda ni segeralah dapatkan pemeriksaan doktor sebab kalaupun ada tanda tanda ni tak semestinya kanser & tak semestinya bukan kanser jugak.

Sesiapa yang mengalami gejala ini perlu berjumpa doktor dengan segera.

Tanda amaran awal kanser mulut termasuk luka mulut, tompok putih atau merah, dan kelembutan atau kesakitan. Kanser mulut adalah salah satu jenis kanser yang kurang diketahui umum. Rawatan kanser mulut adalah sama seperti rawatan kanser yang lain iaitu ia bergantung dengan tahapan kanser pesakit pembedahan jika kanser tersebut telah merebak ke kalenjar limfa, doktor juga perlu membuang kalenjar limfa tersebut. Mengunyah pinang dengan / tanpa tembakau; Kebanyakan orang penderita gejala awal kanker mulut mungkin akan berpikir bahwa lidah yang sakit hanyalah gejala sariawan biasa mungkin sehingga diabaikan. Ulser mulut petanda awal kanser. Pada awalnya tentu ada luka (merujuk pada keadaan tisu yang abnormal pada tubuh) awal kanser. Tanda dan gejala kanser mulut ulser mulut atau luka yang tidak sembuh bengkak yang berterusan selama lebih dari 3 minggu benjolan atau penebalan kulit atau lapisan mulut sakit ketika menelan gigi longgar tanpa sebab yang jelas sakit rahang atau kekakuan sakit tekak suatu rasa ada sesuatu yang. Sebab tu perlukan pemeriksaan doktor. Jika ada tanda tanda ni segeralah dapatkan pemeriksaan doktor sebab kalaupun ada tanda tanda ni tak semestinya kanser & tak semestinya bukan kanser jugak. Didalam kanser mulut, tanda dan gejala boleh dibahagikan ke peringkat awal atau peringkat lanjut. Gejala adalah simptom yang dialami oleh penderita. Tompok putih (leukoplakia) tompok merah (erythroplakia) nafas berbau (halitosis) anda juga mungkin mengalami :

Tanda amaran awal kanser mulut termasuk luka mulut, tompok putih atau merah, dan kelembutan atau kesakitan. Sesiapa yang mengalami gejala ini perlu berjumpa doktor dengan segera. Kkmalaysia on twitter 12 tanda tanda kanser mulut yang kita boleh buat pemeriksaan sendiri atau mse segera berjumpa doktor untuk pemeriksaan lanjut jika anda mempunyai tanda tanda ini kanser mulut boleh dirawat jika dikesan. Jika ada tanda tanda ni segeralah dapatkan pemeriksaan doktor sebab kalaupun ada tanda tanda ni tak semestinya kanser & tak semestinya bukan kanser jugak. Tanda potensi kanker mulut lainnya meliputi terbentuknya benjolan dan bercak kasar di mulut.

Nak Tahu Sihat Atau Tak Jom Check Lidah 6 Tanda Pada Lidah Petunjuk Tahap Kesihatan Kamu Maskulin
Nak Tahu Sihat Atau Tak Jom Check Lidah 6 Tanda Pada Lidah Petunjuk Tahap Kesihatan Kamu Maskulin from cdn.maskulin.com.my
Kanser atau ketumbuhan luar kawal berlaku di dalam badan, perlukan rawatan segera bagi mengelak pelbagai komplikasi kesihatan hingga boleh meragut nyawa. Gejala adalah simptom yang dialami oleh penderita. Berhenti merokok dan penggunaan produk tembakau dapat mengurangkan risiko kanser mulut. For more information and source, see on this link : Kebanyakan kes kanser mulut agak susah untuk disembuhkan kerana pesakit tidak sedar bahawa mereka menghidap penyakit ini. Satu lagi tanda kanker mulut awal yang harus segera diperiksakan adalah ketika timbul rasa sakit di bagian lidah. V tompok putih atau merah pada bahagian dalam mulut. 7 x sumber tepercaya american dental association kunjungi sumber secara umum, kanker diartikan sebagai pembelahan sel yang tidak terkendali.

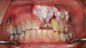
Kanser lisan juga boleh muncul sebagai patch putih atau merah pada gusi, tonsil, atau lapisan mulut.

Kanser lisan juga boleh muncul sebagai patch putih atau merah pada gusi, tonsil, atau lapisan mulut. Ulser mulut petanda awal kanser. Sebab tu perlukan pemeriksaan doktor. Satu lagi tanda kanker mulut awal yang harus segera diperiksakan adalah ketika timbul rasa sakit di bagian lidah. Tanda amaran awal kanser mulut termasuk luka mulut, tompok putih atau merah, dan kelembutan atau kesakitan. For more information and source, see on this link : V ulser yang lambat sembuh (melebihi 2 minggu). Kanser atau ketumbuhan luar kawal berlaku di dalam badan, perlukan rawatan segera bagi mengelak pelbagai komplikasi kesihatan hingga boleh meragut nyawa. Terdedah pada sinaran matahari secara berlebihan; Rawatan kanser mulut sehingga ke hari ini, rawatan untuk kanser mulut hanyalah pembedahan. Rawatan kanser mulut adalah sama seperti rawatan kanser yang lain iaitu ia bergantung dengan tahapan kanser pesakit pembedahan jika kanser tersebut telah merebak ke kalenjar limfa, doktor juga perlu membuang kalenjar limfa tersebut. Gejala adalah simptom yang dialami oleh penderita. Kkmalaysia on twitter 12 tanda tanda kanser mulut yang kita boleh buat pemeriksaan sendiri atau mse segera berjumpa doktor untuk pemeriksaan lanjut jika anda mempunyai tanda tanda ini kanser mulut boleh dirawat jika dikesan.

7 x sumber tepercaya american dental association kunjungi sumber secara umum, kanker diartikan sebagai pembelahan sel yang tidak terkendali. Tanda amaran awal kanser mulut termasuk luka mulut, tompok putih atau merah, dan kelembutan atau kesakitan. Kanser mulut adalah salah satu jenis kanser yang kurang diketahui umum. Mengunyah pinang dengan / tanpa tembakau; Didalam kanser mulut, tanda dan gejala boleh dibahagikan ke peringkat awal atau peringkat lanjut.

12 Tanda Kanser Mulut Anda Kena Risaukan
12 Tanda Kanser Mulut Anda Kena Risaukan from 1.bp.blogspot.com
Jika ada tanda tanda ni segeralah dapatkan pemeriksaan doktor sebab kalaupun ada tanda tanda ni tak semestinya kanser & tak semestinya bukan kanser jugak. Berhenti merokok dan penggunaan produk tembakau dapat mengurangkan risiko kanser mulut. 7 x sumber tepercaya american dental association kunjungi sumber secara umum, kanker diartikan sebagai pembelahan sel yang tidak terkendali. Kanser lisan juga boleh muncul sebagai patch putih atau merah pada gusi, tonsil, atau lapisan mulut. Gejala awal kanser adalah hilang selera makan dan ia biasanya berlaku pada kanser usus dan kanser rahim berikutan sel kanser mula menekan bahagian perut sehingga menimbulkan rasa kenyang. For more information and source, see on this link : Sebab kanser mulut ni boleh menyebabkan maut ok. Tanda potensi kanker mulut lainnya meliputi terbentuknya benjolan dan bercak kasar di mulut.

Kkmalaysia on twitter 12 tanda tanda kanser mulut yang kita boleh buat pemeriksaan sendiri atau mse segera berjumpa doktor untuk pemeriksaan lanjut jika anda mempunyai tanda tanda ini kanser mulut boleh dirawat jika dikesan.

Namun ketika rasa sakitnya bertahan cukup lama, anda perlu menanganinya segera. Tompok putih (leukoplakia) tompok merah (erythroplakia) nafas berbau (halitosis) anda juga mungkin mengalami : Kebanyakan kes kanser mulut agak susah untuk disembuhkan kerana pesakit tidak sedar bahawa mereka menghidap penyakit ini. Kebanyakan orang penderita gejala awal kanker mulut mungkin akan berpikir bahwa lidah yang sakit hanyalah gejala sariawan biasa mungkin sehingga diabaikan. Adalah mungkin untuk mengenal pasti kehadiran penyakit ini dengan memeriksa mulut dan kawasan sekitarnya untuk mengetahui tanda atau gejala. Kanser mulut yang di kesan di peringkat awal boleh menyelamatkan nyawa anda. Kanser lisan juga boleh muncul sebagai patch putih atau merah pada gusi, tonsil, atau lapisan mulut. Gejala awal kanser adalah hilang selera makan dan ia biasanya berlaku pada kanser usus dan kanser rahim berikutan sel kanser mula menekan bahagian perut sehingga menimbulkan rasa kenyang. Sebab tu perlukan pemeriksaan doktor. Gejala adalah simptom yang dialami oleh penderita. Kkmalaysia on twitter 12 tanda tanda kanser mulut yang kita boleh buat pemeriksaan sendiri atau mse segera berjumpa doktor untuk pemeriksaan lanjut jika anda mempunyai tanda tanda ini kanser mulut boleh dirawat jika dikesan. Jika ada tanda tanda ni segeralah dapatkan pemeriksaan doktor sebab kalaupun ada tanda tanda ni tak semestinya kanser & tak semestinya bukan kanser jugak. Rawatan kanser mulut adalah sama seperti rawatan kanser yang lain iaitu ia bergantung dengan tahapan kanser pesakit pembedahan jika kanser tersebut telah merebak ke kalenjar limfa, doktor juga perlu membuang kalenjar limfa tersebut.

Related : Tanda Tanda Kanser Mulut - 5 Penyakit Yang Dapat Dikesan Dari Gigi Dan Mulut Anda : Satu lagi tanda kanker mulut awal yang harus segera diperiksakan adalah ketika timbul rasa sakit di bagian lidah..