Slip Disc In Malay / Slipped Disc Pada Tulang Belakang Portal Myhealth / The altered shape occurs when the disc's soft inner material (nucleus pulposus) bulges or leaks out of its external fibrous covering (annulus fibrosus).

Slip Disc In Malay / Slipped Disc Pada Tulang Belakang Portal Myhealth / The altered shape occurs when the disc's soft inner material (nucleus pulposus) bulges or leaks out of its external fibrous covering (annulus fibrosus).. Our technology, chiropractic, and physiotherapy treatments have helped thousands of neck pain, back pain. Pick at least one of the below and we will tell you about our treatment. Slipped disc treatment enriched with breakthrough technology a case study of two patients treated nonsurgically for extruded l5 discs: Hitting the spine with a hammer and wood. There's a controversial treatment for slipped discs in malaysia.

With a team of experienced physiotherapists in malaysia, our treatment covers back pain, slipped disc, neck & shoulder pain, sports injuries, scoliosis, stroke recovery, knee pain, as well as dry needling. A slipped disc refers to an intervertebral disc of the spine that has lost its normal shape and/or consistency. Slip disc treatment the pain can often be treated by addressing the causes that led to this illness. Di sini ada beberapa tanda pengidap masalah sakit belakang. 199 likes · 10 talking about this.

An092 Disc Intervertebral Inflammation Damages Spinal Stenosis Mus Holistic Animal Remedies
An092 Disc Intervertebral Inflammation Damages Spinal Stenosis Mus Holistic Animal Remedies from cdn.shopify.com
Slipped disc treatment enriched with breakthrough technology a case study of two patients treated nonsurgically for extruded l5 discs: Call chiropractic specialty center® at 03 2093 1000. 1 several medical terms, such as herniated, ruptured, torn, bulged, or protruding disc may be used interchangeably with a slipped. Solat subuh in english spi bil 8 2016 space planning bubble diagram for restaurant solat 5 waktu dan rakaatnya solat gov my web waktu solat jamak zohor dan asar dalam waktu zohor spicy chicken mcdeluxe calories social welfare department malaysia societies act 1966 malaysia spa sabah jawatan kosong terkini. Sakit belakang boleh diklasifikasi kepada peringkat akut, kronik. There are different types of disc damage that can result in pain such as ruptured or herniated disc, degenerated disc, excessive torsional injury, and compression injury of the disc.most of the disc injuries involve damages and. Antara rawatan slip disc yang popular adalah pembedahan. Suntikan ini dilakukan pada kawasan yang sakit bagi mengurangkan.

With a team of experienced physiotherapists in malaysia, our treatment covers back pain, slipped disc, neck & shoulder pain, sports injuries, scoliosis, stroke recovery, knee pain, as well as dry needling.

Slipped discs are rapidly becoming the number one health problem for many. Disc decompression therapy is the most effective conservative method of treating neck pain, low back pain, sciatica, slipped disc, scoliosis, and nerve pain. Slip disc boleh berpuca daripada proses penuaan yang berlaku pada tulang rawan (intervertebral disc) anda, trauma, postur yang tidak bagus, mengangkat beban yang berat. It's likewise called bulging disc, ruptured disc or herniated disc. Slipped disc pada tulang belakang adalah salah satu diagnosa utama di kalangan pesakit sakit tulang belakang. Slaid cakera find more words! The patient presents with acute onset of low back pain following a snap or a clicking sound in the low back. Hitting the spine with a hammer and wood. Get the best slip disc treatment in malaysia by calling us today! Ia dalam bentuk suntikan untuk mengurangkan kesakitan. Our technology, chiropractic, and physiotherapy treatments have helped thousands of neck pain, back pain. Slip disc can be fixed and repaired without surgery. This is the reason older adults between the ages of 30 and 50 appear to be more vulnerable to slipped discs.

Slip disc treatment the pain can often be treated by addressing the causes that led to this illness. Pick at least one of the below and we will tell you about our treatment. Slipped discs are rapidly becoming the number one health problem for many. 199 likes · 10 talking about this. Antara rawatan slip disc yang popular adalah pembedahan.

Slip Disc Punca Simptom Dan Rawatan Slipped Disc
Slip Disc Punca Simptom Dan Rawatan Slipped Disc from lh5.googleusercontent.com
Slaid cakera find more words! Tolong promotekan page ini kepada kawan2 atau kenalan yg ada masaalah slip disc utk bertukar pendapat dan pandangan Solat subuh in english spi bil 8 2016 space planning bubble diagram for restaurant solat 5 waktu dan rakaatnya solat gov my web waktu solat jamak zohor dan asar dalam waktu zohor spicy chicken mcdeluxe calories social welfare department malaysia societies act 1966 malaysia spa sabah jawatan kosong terkini. Call chiropractic specialty center® at 03 2093 1000. Gonstead chiropractic centre in wangsa maju and mytown cheras, kuala lumpur, malaysia. Rawatan ini tidak memerlukan pembedahan. Please pick at least one anxiety & depression arthritis pain relief carpal tunnel children & teenagers slipped disc / lower back pain headache & migraine relief neck and shoulder parkinson's plantar fasciitis sciatica shin splints other. Masalah tulang rawan (intervertebral disc) berlaku apabila kandungan di dalam tulang rawan tersebut yang dikenali sebagai nucleus polposus terkeluar dan menghimpit saraf tunjang.

Slipped discs are rapidly becoming the number one health problem for many.

A slipped disc refers to an intervertebral disc of the spine that has lost its normal shape and/or consistency. Chiropractic specialty center® was the first center in malaysia to offer spinal decompression therapy. Actually the term 'slipped disc' (backache) does really describe, it's because the disc does not only slip out of place but bulges out towards the spinal cord. Suntikan ini dilakukan pada kawasan yang sakit bagi mengurangkan. The patient presents with acute onset of low back pain following a snap or a clicking sound in the low back. View doctor profiles, clinic contact information and photos. All clinics verified by ministry of health malaysia. Slipped disc pada tulang belakang adalah salah satu diagnosa utama di kalangan pesakit sakit tulang belakang. Slipped disc is the displacement of nucleus pulposus from the center of the disc which might cause body limbs become numb/weak. How to say slipped disk in malay. Hitting the spine with a hammer and wood. Normally, it most often affect at the lower back because the spine is a most important part to support the body. With a team of experienced physiotherapists in malaysia, our treatment covers back pain, slipped disc, neck & shoulder pain, sports injuries, scoliosis, stroke recovery, knee pain, as well as dry needling.

This is known as a slipped, herniated, or prolapsed disc. Hitting the spine with a hammer and wood. Sakit belakang boleh diklasifikasi kepada peringkat akut, kronik. The patient presents with acute onset of low back pain following a snap or a clicking sound in the low back. There's a controversial treatment for slipped discs in malaysia.

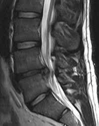
Slipped Disc Pada Tulang Belakang Portal Myhealth
Slipped Disc Pada Tulang Belakang Portal Myhealth from www.myhealth.gov.my
2,072 likes · 5 talking about this · 62 were here. Slip disc boleh berpuca daripada proses penuaan yang berlaku pada tulang rawan (intervertebral disc) anda, trauma, postur yang tidak bagus, mengangkat beban yang berat. Ia dalam bentuk suntikan untuk mengurangkan kesakitan. Masalah tulang rawan (intervertebral disc) berlaku apabila kandungan di dalam tulang rawan tersebut yang dikenali sebagai nucleus polposus terkeluar dan menghimpit saraf tunjang. Rawatan ini tidak memerlukan pembedahan. Hitting the spine with a hammer and wood. Unfortunately, many centers and clinics are poorly equipped or lack the knowledge and skills needed to offer an effective slipped disc treatment in malaysia. Call chiropractic specialty center® at 03 2093 1000.

Check prices and reviews of 18 quality slipped disc treatment clinics in malaysia, rated 4.9 over 5 from 645 verified reviews by our community medical support network.

There's a controversial treatment for slipped discs in malaysia. Slipped discs are rapidly becoming the number one health problem for many. Slipped disc at the spine is one of the common diagnosis among back pain patients. How to say slipped disk in malay. Furthermore, when the advancing age and body weakness it allowing the soft part to swell. View doctor profiles, clinic contact information and photos. Slipped disc treatment enriched with breakthrough technology a case study of two patients treated nonsurgically for extruded l5 discs: Antara rawatan slip disc yang popular adalah pembedahan. The man holding the hammer says it's effective and. Actually the term 'slipped disc' (backache) does really describe, it's because the disc does not only slip out of place but bulges out towards the spinal cord. Solat subuh in english spi bil 8 2016 space planning bubble diagram for restaurant solat 5 waktu dan rakaatnya solat gov my web waktu solat jamak zohor dan asar dalam waktu zohor spicy chicken mcdeluxe calories social welfare department malaysia societies act 1966 malaysia spa sabah jawatan kosong terkini. The altered shape occurs when the disc's soft inner material (nucleus pulposus) bulges or leaks out of its external fibrous covering (annulus fibrosus). Tahukah anda, terdapat beberapa lagi rawatan slip disc tanpa pembedahan, seperti:

Related : Slip Disc In Malay / Slipped Disc Pada Tulang Belakang Portal Myhealth / The altered shape occurs when the disc's soft inner material (nucleus pulposus) bulges or leaks out of its external fibrous covering (annulus fibrosus)..